Deep Dental Cleaning Before and After: Benefits for Gum Disease Prevention
Healthy gums rarely get the attention they deserve, yet they are the foundation holding every tooth in place. When plaque and tartar slip beneath the gumline, no amount of brushing or flossing at home can reach them. That is the moment a deep dental cleaning stops being optional and becomes one of the smartest investments you can make in your long-term oral health.
If you have been told you need a deeper cleaning, you are likely wondering what actually changes, whether it hurts, and what your mouth will look and feel like afterward. This guide walks you through the full before-and-after experience, why it works so well for stopping gum disease in its tracks, and how it fits into the bigger picture of routine preventive care.
What Is a Deep Dental Cleaning?
A deep dental cleaning, known clinically as scaling and root planing, is a two-step periodontal treatment that goes far below the surface of a routine polish. While a regular prophylaxis cleans what you can see, a deep cleaning targets hardened deposits and bacteria that have migrated beneath the gumline into the pockets around your tooth roots.
Here is what sets it apart:
- Scaling removes plaque, tartar, and bacterial biofilm from the crown and root surfaces.
- Root planing smooths rough spots on the roots so your gums can reattach and heal tightly against the tooth.
- It is usually performed over one or two visits, often with local anesthetic for your comfort.
Signs You May Need a Deep Cleaning
Early gum disease is sneaky. It rarely hurts until significant damage is done, which is why the experienced team at our practice screens for it at every checkup. You may be a candidate for a deep cleaning if you notice any of the following:
- Bleeding when you brush or floss
- Gums that look red, puffy, or have pulled away from your teeth
- Persistent bad breath that mouthwash cannot fix
- Sensitivity to hot or cold along the gumline
- Gum pockets measuring deeper than 4 millimeters during your exam
- A longer-than-usual gap between dental visits
If any of these sound familiar, scheduling an evaluation with a trusted local dental provider is the most important step you can take this month.
Before the Procedure: What to Expect
Walking in informed makes the whole visit easier. Before any scaling begins, your dentist or hygienist will:
- Review your medical history and current medications.
- Measure the depth of each gum pocket with a small, painless probe.
- Take digital X-rays to look for bone loss that signals advanced gum disease.
- Explain the findings and map out exactly which areas need treatment.
This assessment is also the right time to ask about replacement options if any teeth have already been lost to advanced disease. For long-term solutions, the tooth replacement specialists at our office can talk through how a stable, infection-free gumline is the foundation for any future restoration.
What Happens During a Deep Cleaning
The treatment itself is methodical and, for most patients, much more comfortable than they expect.
Step 1: Numbing for Comfort
Your gums are gently numbed with a topical gel and, if needed, a local anesthetic. You stay awake, but the area being treated feels nothing.
Step 2: Scaling
Using a combination of ultrasonic instruments and fine hand tools, the clinician carefully lifts tartar, bacterial colonies, and debris from above and below the gumline. The ultrasonic tip vibrates at high frequency and sprays water to flush the pocket clean.
Step 3: Root Planing
The exposed root surfaces are then smoothed so that bacteria have nowhere to cling and your gum tissue can heal tightly around the tooth again.
Step 4: Optional Antibacterial Therapy
Some pockets benefit from a targeted antimicrobial rinse or slow-release antibiotic placed directly into the pocket to shut down lingering infection.
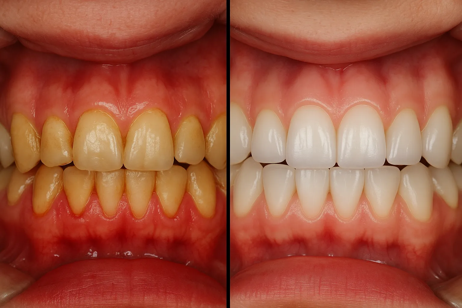
Deep Dental Cleaning Before and After: The Visible Difference
Patients are often surprised by how quickly their mouth transforms. Here is a realistic look at the change:
Before the Cleaning
- Gums appear dark red, swollen, or rolled away from teeth
- Visible tartar buildup, especially behind the lower front teeth
- Bleeding with brushing, flossing, or eating firm foods
- Chronic bad breath caused by bacteria trapped in pockets
- Teeth may feel slightly loose or shifted
After the Cleaning
- Gums return to a healthier pink tone within one to two weeks
- Pocket depths shrink as inflammation resolves
- Breath noticeably freshens
- Teeth look cleaner, brighter, and feel smoother to the tongue
- Bleeding during home care dramatically decreases or stops entirely
Most patients are also curious about a whole-smile makeover after their gums stabilize. Once the foundation is healthy, treatments like whitening and veneers become far more effective and longer-lasting.
Why a Deep Cleaning Is So Effective at Preventing Gum Disease
Gum disease, or periodontitis, progresses in stages. A deep cleaning halts that progression by attacking the root cause: the bacterial colonies living where your toothbrush cannot reach.
The long-term benefits are significant:
- Stops gingivitis from progressing into advanced periodontitis
- Protects the jawbone from the gradual resorption that leads to tooth loss
- Lowers your risk of systemic issues linked to gum infections, including heart disease and poorly controlled blood sugar
- Saves you money by preventing far more expensive restorative work down the road
- Gives your daily brushing and flossing a clean surface to maintain
Patients in the northern suburbs who stay on top of their periodontal health by seeing a caring dental office nearby often keep their natural teeth decades longer than those who delay care.
Healing and Aftercare
The first 24 to 72 hours are the most important. Mild tenderness, slight bleeding, and temporary sensitivity to cold are all normal. To support healing:
- Stick with lukewarm, soft foods for the first day or two
- Avoid spicy, crunchy, or very hot items that could irritate tender gums
- Brush gently with a soft-bristled brush and use the prescribed rinse if given one
- Skip smoking and alcohol during the healing window
- Return for a follow-up visit so your progress can be measured
If you have already lost teeth due to advanced gum disease, a healed, infection-free mouth is the green light needed to explore modern permanent tooth replacement solutions that look and function like natural teeth.
Staying Healthy After Your Deep Cleaning
A deep cleaning is not a one-time fix. Gum disease is a chronic condition that needs ongoing management. Most patients move onto a periodontal maintenance schedule of every three to four months rather than the standard six, because bacteria recolonize pockets quickly.
Your home routine matters just as much. Brushing twice a day, flossing daily, and adding an interdental brush or water flosser to your regimen will preserve the results of your treatment. Pair that with regular professional cleanings at our office and your gums can stay stable for life.
Interested readers can also explore our guide on how preventive dentistry protects your time and wallet and our complete walkthrough for new patient visits to know exactly what your next appointment will look like.
Protect Your Smile Starting Today
A deep dental cleaning is one of the highest-impact, lowest-risk treatments in modern dentistry. If your last checkup raised concerns about your gum health, do not wait for symptoms to get worse. Reach out to the compassionate team at Miracle Dental to schedule your evaluation and take the first step toward gums that stay strong for a lifetime.
