
What Is Dental Bonding, Really?
Dental bonding is a cosmetic procedure where a tooth-colored composite resin is applied to your natural tooth, sculpted into the right shape, and hardened with a curing light. Once it's polished, it blends seamlessly with the surrounding enamel — so well that most people can't tell where the bonding ends and the tooth begins. Unlike veneers, bonding doesn't require shaving down your enamel. Unlike crowns, it doesn't involve impressions or a second appointment. It's the most conservative cosmetic dentistry option available, which is why so many people choose it as a first step toward a smile they love. You can explore the full range of smile enhancement options offered at the practice to see how bonding fits alongside other treatments.Before and After: The Three Issues Bonding Fixes Best
Bonding isn't a magic wand for every dental problem, but it's remarkably good at three specific things. Here's what a typical before-and-after looks like for each.1. Chipped, Cracked, or Worn Teeth
Before: A sharp, jagged edge on a front tooth from biting into something hard, chewing ice, or a minor accident. Sometimes the chip is barely visible; other times it throws off the whole smile line. After: A smoothly restored tooth that matches the shape and length of the neighbors. The resin is sculpted layer by layer, so your dentist can rebuild everything from a tiny corner chip to a noticeable break. Patients often say it feels like the tooth was never damaged. If you'd like the full clinical walkthrough of how the resin is applied and cured, this complete overview of the bonding procedure explains every step from shade selection to polishing.2. Gaps Between the Front Teeth
Before: A visible space, most often between the two upper front teeth (called a diastema). Some people grow up loving their gap; others feel self-conscious about it, especially in photos or on video calls. After: The space is closed — not with braces, not with aligners, but with a careful build-up of composite resin on the sides of the two teeth. The result is a natural-looking smile with no gap, done in one visit. For smaller spaces, this is often the fastest and most affordable fix available.3. Stains That Won't Respond to Whitening
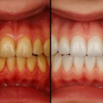
Before: Deep discoloration that bleaching gels can't touch. This usually happens with intrinsic stains — tetracycline marks from childhood antibiotics, fluorosis spots, or dark patches from a tooth that had a root canal years ago. After: The stained surface is covered with a resin shade chosen to match (or brighten) the rest of your smile. Because the bonding sits on top of the enamel, it hides the stain completely instead of trying to lift it. If surface stains are your main concern, though, **our upcoming guide on professional whitening vs. bonding for discoloration** will help you compare both approaches — in the meantime, you can also read this comparison of whitening and veneer options for different stain types.What the Procedure Actually Feels Like
Most patients are surprised by how relaxed the appointment is. There's no drilling into healthy enamel, no shots in most cases, and no temporary restoration to wear home. Here's the short version of what happens:- Your dentist selects a composite shade that matches your natural tooth color.
- The tooth surface is lightly etched and primed so the resin can grip.
- The putty-like composite is applied in thin layers and sculpted into shape.
- A curing light hardens each layer in seconds.
- The final surface is shaped, smoothed, and polished until it shines like enamel.
How Long Will the Results Last?
This is the question every patient asks — and the honest answer depends on your habits. Bonding is strong, but it's not bulletproof. Composite resin can stain from coffee, red wine, and tobacco, and it can chip if you bite fingernails, chew pens, or grind your teeth at night. With reasonable care, most bonding lasts anywhere from three to ten years before it needs a touch-up or refresh. If you want the full breakdown of what affects longevity — and how to make your results last on the longer end of that range — this deep-dive into the real lifespan of composite resin restorations covers it in detail.Is Bonding Right for You?
Bonding works best for small to moderate cosmetic corrections on teeth that are otherwise healthy. It's not the right choice if:- You have significant decay or gum disease that needs treatment first.
- The damage covers a very large portion of the tooth (a crown or veneer may be more durable).
- You have a heavy grinding or clenching habit that's already worn down your teeth.
- You're missing a tooth entirely — in that case, a restoration like a permanent tooth replacement with a dental implant is the better conversation to have.
Caring for Your Bonded Teeth
The aftercare is refreshingly simple — mostly just good oral hygiene with a couple of extra habits.- Brush twice a day with a non-abrasive fluoride toothpaste.
- Floss daily, being gentle around the bonded edges.
- Skip the heavy staining culprits in the first 48 hours (coffee, red wine, berries, curry).
- Don't use your teeth to open packages or bite hard objects.
- If you grind at night, ask about a custom night guard.
- Keep your six-month checkups — bonded teeth still need regular exams and cleanings, which the team serving patients across the greater Montgomery County community provides as part of ongoing cosmetic maintenance.