
What Is Scaling and Root Planing?
Scaling and root planing is a two-part non-surgical therapy performed by a dentist or hygienist. Scaling removes hardened plaque and tartar from above and below the gumline; root planing smooths the tooth-root surfaces so gum tissue can reattach firmly. Together, these steps target the real source of gum inflammation — bacterial buildup that a standard cleaning cannot reach. It is typically recommended when pocket depths exceed 4 millimeters or when X-rays show early bone loss.Signs You May Need a Deep Cleaning
Gum disease rarely hurts in its early stages, which is why so many people miss the warning signs. Watch for these red flags:- Gums that bleed when you brush or floss
- Persistent bad breath that does not improve with brushing
- Red, swollen, or tender gum tissue
- Gums pulling away from the teeth, making teeth look longer
- Loose teeth or a shifting bite
Before the Procedure: What to Expect
Good preparation makes the visit smoother and healing faster. Here is how your dentist typically sets the stage:Comprehensive Periodontal Evaluation
Your dentist will measure the depth of each gum pocket with a small probe, check for bleeding points, and take updated X-rays. This mapping is the baseline you will use to track improvement after treatment.Medical History Review
Conditions such as diabetes, heart disease, or pregnancy can influence gum health and healing. Mention blood thinners and recent medication changes so your provider can plan accordingly.Numbing for Comfort
Most patients receive a local anesthetic so the procedure is comfortable from start to finish. If dental anxiety is an issue, ask about additional sedation options during your consultation. New to the practice? what to expect at your consultation walks you through the full intake process.During the Procedure: Step by Step
A deep cleaning usually takes one to two visits, often splitting the mouth into quadrants so each area gets focused attention. Here is the general flow:- Your dentist or hygienist numbs the treatment area.
- Ultrasonic instruments and hand scalers remove tartar and plaque from above and below the gumline.
- Root surfaces are planed smooth to discourage future bacterial buildup.
- Pockets are rinsed, and an antibacterial agent may be placed in deeper pockets.
- You receive personalized home-care instructions for the next two weeks.
After the Procedure: The Healing Timeline
Recovery is the part most people underestimate. The first 48 hours set the tone for how quickly your gums bounce back.First 24 to 48 Hours
Expect mild soreness, slight bleeding when brushing, and some temperature sensitivity. Stick to soft foods such as soups, yogurt, eggs, and smoothies, and avoid spicy foods, alcohol, and tobacco while tissue repairs.Days 3 to 7
Tenderness fades noticeably. Return to gentle brushing with a soft-bristled toothbrush and resume flossing. Teeth may feel slightly longer as inflamed gum tissue tightens around the roots.Weeks 2 to 6
Gums continue reattaching to the tooth surfaces. Pocket depths reduce, bleeding stops, and breath improves. Your dentist will schedule a follow-up to confirm progress. For more on the full healing timeline after a deep cleaning, a dedicated recovery guide is coming soon to help patients track progress week by week.Before and After: The Real Difference
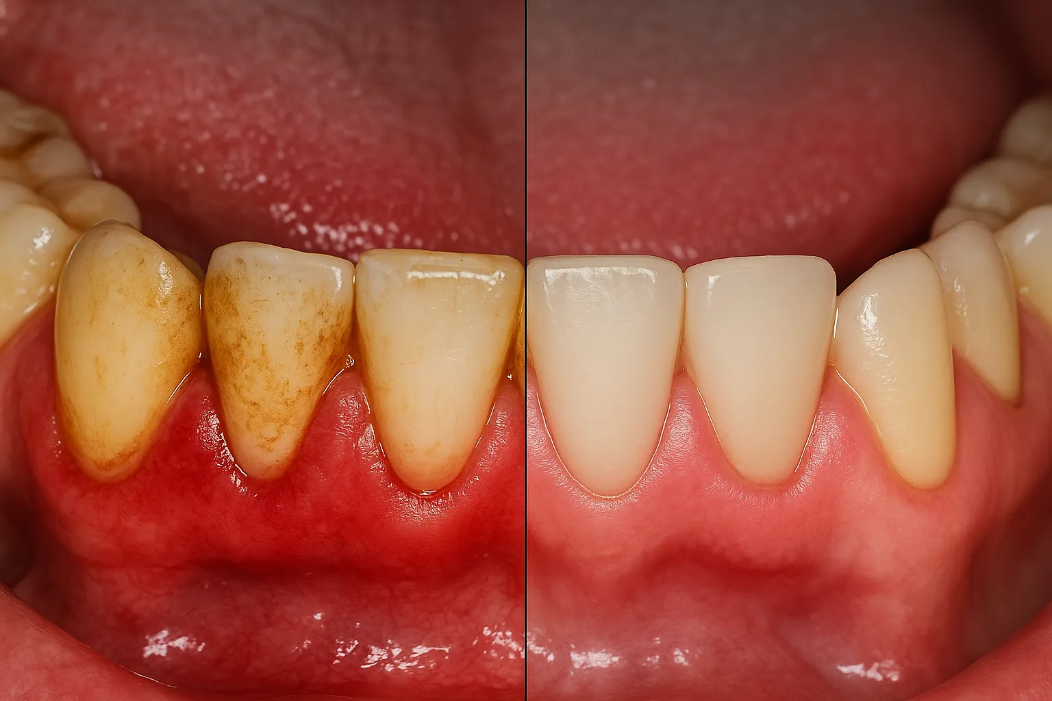
The shift from a mouth with active gum disease to one in recovery is often striking. Here is what changes:Before Treatment
- Inflamed, puffy, bright-red gum tissue
- Deep pockets holding bacteria and tartar
- Bleeding with brushing and flossing
- Chronic bad breath and possible early bone loss on X-rays
After Treatment
- Firmer, pink gum tissue that hugs each tooth
- Measurably shallower pockets (often 1–3 mm improvement)
- Little to no bleeding during daily cleaning
- Fresher breath and a stable foundation that protects against tooth loss
Keeping Your Results for the Long Haul
Deep cleaning treats the existing problem; what you do afterward determines whether it returns. The most effective long-term habits include:- Brushing twice daily with fluoride toothpaste and a soft-bristled brush
- Flossing every day or using a water flosser
- Returning for periodontal maintenance cleanings every 3 to 4 months
- Quitting tobacco and managing blood sugar if you have diabetes